
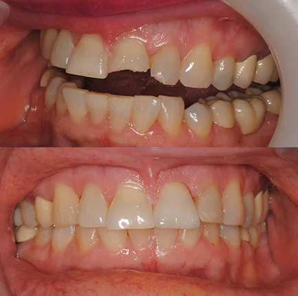
Do you have a dental cavity?
If you have a dental cavity, restorative treatment can be crucial for maintaining your oral health. Dr. Hetal S Patel offers composite dental fillings at our Canton, Michigan practice, which are expertly designed to repair cavities seamlessly. These fillings not only restore the function and appearance of your teeth but also help prevent future complications by protecting the affected area from further decay. With a focus on precision and patient comfort, Dr. Hetal S Patel ensures that your composite fillings blend naturally with your existing teeth, enhancing both your smile and overall dental health.
Give our office call today at (734) 999-3344 and schedule an appointment with our dentist to learn more and get your smile back on track.
