
Transform Your Smile with Custom Dental Veneers
Dental veneers have emerged as a popular and effective cosmetic solution for individuals seeking to address minor imperfections in their smiles.
Designed to conceal and correct various dental imperfections, veneers are thin, custom-made shells typically crafted from porcelain or composite materials. These shells are meticulously bonded to the front surface of teeth, effectively masking flaws such as chips, gaps, and discolorations. This cosmetic treatment is especially ideal for those who aspire to enhance the natural beauty of their smiles without resorting to invasive procedures.
Personalized Dental Veneers: Custom Solutions for a Perfect Smile
One of the notable advantages of veneers is their versatility. Whether you have a single chipped tooth or several gaps between your teeth, veneers can be tailored to meet your specific needs. Dr. Hetal S Patel's expertise ensures that each veneer is precisely designed to blend seamlessly with the rest of your natural teeth, creating a harmonious and aesthetically pleasing result.
The process of getting veneers typically involves an initial consultation, during which Dr. Patel will assess your dental health and discuss your cosmetic goals. Subsequently, a small amount of enamel is gently removed from the tooth's surface to accommodate the veneer. Impressions of your teeth are then taken to create custom veneers that fit snugly and look entirely natural.
Patients can enjoy not only an enhanced appearance but also improved self-confidence. The durability of veneers allows individuals to indulge in their favorite foods and maintain regular oral hygiene practices without concern. With proper care, veneers can last for many years, making them a long-lasting and worthwhile investment in achieving a radiant and flawless smile.
If you have small flaws in your smile, such as chipped or gapped teeth, give us a call at (734) 999-3344 to schedule an appointment at our Canton office!
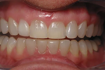
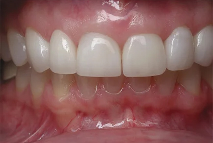
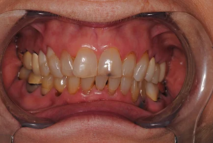
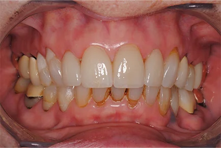
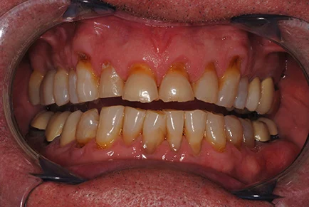
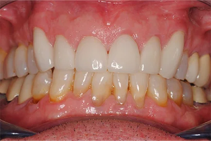
Before and After: Dental Veneers

BEFORE

AFTER

BEFORE

AFTER

BEFORE

AFTER
